
漢方薬舗幸貴堂のホームページをご覧いただき、誠にありがとうございます。
幸貴堂では、全国の胸水でお悩みを抱える患者様からのご相談を承っております。
幸貴堂に寄せられる患者様の症状とお悩み
・1日でも早く胸水を排出したい
・胸水だけでも何とかしたい
・食事を摂れるようにしてあげたい
・西洋医学では治療法がない
・家族が苦しむ姿を見るのが辛い
・余命を宣告され不安を感じている
など多岐にわたります。
幸貴堂では、胸水の専門スタッフが患者様一人一人に対して、問診を丁寧に行い、発症原因や症状、血液検査の結果などを基に体質を見極め、現在の状態の説明、今後の治療方針、患者様に最も適した漢方対策の提案を行っております。また、提案するお薬は患者様の『体質・症状』に応じた≪オーダーメード≫となります。
漢方服用後のアフターケアも行っておりますので、ご安心ください。
つらくて苦しい胸水の症状でお悩みの方は、ぜひ幸貴堂までご相談ください。専門スタッフと共に、現在の問題を解決に向けて進めていきましょう。
\お問合せはこちら/
胸水とは

肺の表面は胸膜という薄い膜で覆われており、肺側を覆う胸膜と胸壁側を覆う胸膜の二重構造を形成しています。これら二枚の胸膜の間の空間を「胸腔」と呼びます。この胸腔内には健康な人でも少量の水分が存在し、呼吸時に肺と胸壁が擦れ合うのを防ぐ潤滑油の役割を果たしています。この胸腔内の水分は外側の胸膜によって生成され、内側の胸膜に吸収される仕組みになっており、一定の量が保たれていることが正常です。しかし、何らかの要因でこのバランスが崩れると、胸腔内に異常な量の水分が蓄積され、この状態を「胸水貯留」と呼びます。
胸水の症状
貯留量によって自覚症状がない方もいらっしゃいますが、胸水が異常に貯留すると、以下のような症状が現れます。
・咳が続く、咳込みが激しく嘔吐してしまう、寝ている時も咳が出て眠れない、
・痰がからむ、血痰がでる
・呼吸が苦しい、呼吸が浅くなる
・胸痛、胸部の圧迫感
・少しの運動や階段の上り、坂道で息が上がる
・息切れや動悸がする
・すぐに息が上がるため、生活に支障が出る、少しの距離でも休憩しないと歩けない
・声が出しづらく、声がかすれる
・食べ物が飲み込みにくく、喉を通らない
症状の辛さや現れ方は患者様によって様々です。
胸水貯留の原因
胸水は大きく分けて以下の2つの種類がございます。
滲出性腹水(炎症などから症状が現れます)
滲出性胸水は、主に胸膜炎、感染症(細菌や結核など)、がん(肺がんや中皮腫など)、自己免疫疾患(関節リウマチなど)が原因となります。
漏出性胸水(低蛋白・門脈圧亢進症などから症状が現れます)
漏出性胸水は、心不全、肝硬変、腎不全、ネフローゼ症候群など、肺以外の全身的な病気が主な原因となることが多く、両側に現れる傾向があります。
東洋医学から見る胸水の原因

西洋医学では、がん、心不全、肝硬変、感染症などが原因と診断されますが、東洋医学では「水(すい)」の代謝異常と考えます。
体内を巡るはずの水分が、巡りを止め、淀んでしまった状態を「水毒(すいどく)」や「痰飲(たんいん)」と呼びます。なぜ水が胸に溜まってしまうのか、その主な原因は以下の3つの臓器の機能低下だと考えられています。
「肺」の機能低下
東洋医学における「肺」は、呼吸の役割だけでなく、全身に水分を行き渡らせる重要な働きを持っています。肺の気が弱くなると、水を循環させるポンプの機能が低下し、胸に水が溜まってしまうのです。
「脾(胃腸)」の機能低下
「脾」は消化吸収を行い、水分を全身へ送る働きがあります。抗がん剤治療や長患いなどで胃腸が弱ると、水分をさばく力が落ち、体の中に余分な水が溜まりやすくなります。
「腎」の機能低下
「腎」は体内の水分量を調節し、不要な水を尿として排出する臓器です。腎の力が弱まると、水分の排出ができなくなり、結果として胸水や浮腫を引き起こします。
※上記は、数ある原因の中の一例であり、患者様によって原因はさまざまです。詳しくは、幸貴堂の専門スタッフにご相談下さいませ。
漢方薬舗幸貴堂では、患者様の根本的な原因を特定するために、専門のスタッフが下記の問診を行います。また、採血データなども詳細に確認し、現状の説明や今後の対策についてお伝えいたします。
問診(症状・体質・進行状況の確認)

胸水の貯留は、癌や、肝硬変、胸膜炎、腎疾患など原因はさまざま。また、症状の現れ方、採血の状態なども患者様によって大きく変わってきます。
その為、すべての方が同じ治療を行う訳ではなく、患者様の症状・体質に合わせた最善の治療・対策を行う事が重要となります。
直近の血液検査の確認
肝機能、腎機能、電解質、血球成分、蛋白・栄養状態、黄疸、アンモニア、炎症、免疫、腫瘍マーカーなどを細かく確認していきます。
排尿、排便状態
1日の排尿・排便の回数、量、色の確認
食事・水分摂取
1日の食事・水分の摂取量、食事の内容の確認
浮腫みの状態
浮腫の状態と起こっている部分の確認
現在の治療法・服用薬
病院で行われている治療、処方されているお薬、個人で服用されている健康食品など
持病
喘息、糖尿病、高血圧などの確認
専門スタッフより、上記の6点を細かく確認させて頂き、患者様に最も適した「漢方対策」をご提案させて頂きます。
幸貴堂の「胸水対策」と漢方アプローチ

病院での治療(利尿剤や胸腔穿刺)は、溜まった水を強制的に出す「対処療法」が中心となります。
これらは即効性がありますが、水を溜めてしまう体質が変わっていないため、繰り返してしまうことが多いです。
幸貴堂では、以下の3つのステップで胸水の改善を目指しています。
「利水作用」水分代謝の改善
まずは、溜まってしまった余分な水を尿として排出させる漢方を用います。西洋薬の利尿剤とは異なり、身体に必要なミネラルや体力を奪いすぎることなく、自然な排出を促します。
「補気」エネルギー代謝の向上
水は自ら動くことができません。「気(エネルギー)」の力が推し進めることで初めて循環します。消耗した体力を補い、ポンプの役割である「心肺機能」や「胃腸」を立て直すことで、水が溜まりにくい環境を作ります。
炎症や血流の改善
がん性胸膜炎や肝硬変などが原因の場合、炎症や血行不良が水の貯留を悪化させています。
※上記の原因・対策法はすべての患者様に共通する事ではなく、症状・体質によって治療法は大きく異なります。詳しくは幸貴堂の専門スタッフまでご相談下さいませ。
幸貴堂では

実績相談件数5000件以上の経験豊富な専門スタッフが、患者様一人一人の症状・原因から体質を見極めさせていただき、患者様に適した最善の漢方対策をご提案させて頂きます。
※幸貴堂では、症状を一時的に緩和する「対処療法」ではなく、発症原因を大元から治療する「体質強化」専門で行っております。
□治療につきましては、漢方だけの治療ではなく、現代人向けの体質・証に合わせた、漢方サプリなどもご提案させて頂く場合もございます。
□身体への負担が少なく、体に優しい漢方をご提案させて頂きます。
□漢方薬の種類も豊富で、ご提案のパターンも多い
□治療開始後のアフターフォローも充実しております。
□全国対応/腹水の専門スタッフ在籍中
一人で悩まず、ご相談ください
「もう歳だから」「病院で様子見と言われたから」と諦める必要はありません。
胸水は、身体の中のバランスを整えることで、苦しさを和らげ、数値を改善できる可能性が十分にあります。幸貴堂では、肝硬変、肺がん、心不全など、基礎疾患に合わせたオーダーメイドの漢方をご提案いたします。元気と笑顔を、一緒に取り戻しましょう。
胸水 症例
肝硬変からの肝臓転移、そして胸水・腹水へ

60代 男性 / 病歴:大腸がん手術後、肝転移・肝硬変
肝臓の機能低下により、腹水と胸水の両方に水が溜まり、横になって眠れないほどの息苦しさがありました。病院の利尿剤では追いつかず、アルブミン製剤の点滴も頻繁に行っていましたが、漢方での対策を希望されました。(※病院治療+漢方併用)
服用前
お腹がパンパンに張り、少し動くだけで息切れがする。食欲がなく、体力が落ちている状態。
血液検査 Alb(アルブミン):2.1 g/dL/ 腹囲:98cm
服用1ヶ月
尿の量が明らかに増えました。パンパンに張っていたお腹の皮に少しゆとりができ、夜中に苦しくて目が覚める回数が減りました。
血液検査 Alb:2.4 g/dL / 腹囲:95cm
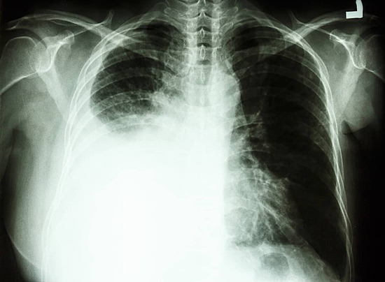
服用2ヶ月
胸のレントゲンで、水のラインが下がっていると医師から言われました。呼吸が深くできるようになり、少しずつ食事が美味しいと感じられるようになりました。
血液検査 Alb:2.9 g/dL(上昇傾向) / 腹囲:90cm(マイナス8cm)
幸貴堂専門スタッフより
肝臓の血流を助け、栄養状態の改善を図りながら、余分な水分を尿として出す漢方を組み合わせました。栄養状態が良くなることで、血管内に水分を留める力が戻り、水が漏れ出しにくい体へと変化しました。
※効能・効果には個人差があり確実な効果を保証する物ではありません
肺がん治療中の胸水。穿刺の間隔が延びました

70代 女性 / 病歴:肺がん(ステージ4)
抗がん剤治療中ですが、胸水が溜まりやすく、2週間に一度、胸腔穿刺をしていました。水を抜くのが痛くて辛い、何とか回数を減らしたいとご相談をいただきました。(※病院治療+漢方併用)
服用前
咳き込みが激しく、会話をするのも息が切れる。常に、顔色も悪く、炎症反応も高い状態でした。
血液検査 CRP(炎症反応):4.5 mg/dL / 穿刺の頻度:2週に1回
服用1ヶ月
咳の回数が減り、胸のつかえが取れたような感覚があります。2週間後の診察で、今回はまだ抜かなくて様子を見ましょうと言われました。
血液検査 CRP:2.8 mg/dL / 穿刺頻度:様子見
服用2ヶ月
結局、この2ヶ月間は一度も水を抜かずに過ごせています。レントゲンでは悪化は見られず、顔色が明るくなり、散歩ができるまで体力が回復しました。
[血液検査] CRP:0.8 mg/dL(低下) / 水抜き頻度:0回
※効能・効果には個人差があり確実な効果を保証する物ではありません
幸貴堂専門スタッフより
がんによる炎症が水分を溜める原因となっていました。抗がん剤の副作用を軽減しながら、肺の熱を冷やし、水の流れを整える漢方で対策させていただきました。
お客様の声
N様【胸膜炎~胸水/茨城県/58才/男性】
お世話になります。昨日、兄のところに行ってきたのですが、随分と顔色が良くなっていました。食事も、以前は全く取れなかったのですが、3分の1程度まで摂れるようになったようです。何よりも、胸の圧迫が和らぎ、呼吸が楽になったことが一番うれしいようです。本当にありがとうございました。
※効果には個人差があり確実な効果を保証する物ではありません

A様【肝硬変~胸水/奈良県・66代 女性】
本日は血液検査の数値が出ましたのでご報告いたします。前回低かった、アルブミンの数値ですが、2.8→3.2まで上がっていました。また、貧血もひどかったのですが、赤血球、ヘモグロビンの数値も、RBC302→345、HGB9.5→11.2まで上がっていました。母もすぐく喜んでいます。岡田さんありがとうございます。母も、最初はお薬が飲みにくいと文句ばかりでしたが、今回の数値を見て、自分から進んで漢方薬を飲んでくれるようになりました。母には、まだまだ健康でいてほしいので、これからもよろしくお願いいたします。
※効果には個人差があり確実な効果を保証する物ではありません。
お気軽にご相談ください

患者様のお悩み、体質に合わせてのオリジナル漢方をご提案いたします。
お一人で悩まれず今の問題を一緒に解決していきましょう。
代表
岡田 貴之(おかだ たかゆき)
TAKAYUKI OKADA
資格:薬種商(現 医薬品登録販売者)
漢方歴:25年
ご相談の方法は、お電話、メール、LINEからお選びいただけます。
それぞれのお問合せ方法をご紹介致します。
お電話でのご相談

※電話予約はこちらから(ご希望のお時間帯に担当者より直接ご連絡させて頂きます)
まずは、受付までお電話をいただき、ご予約をお願いいたします。ご予約のお時間帯に専門の担当者から折り返しご連絡をさせていただきます。折り返しのお電話番号は、080-又は、090-からはじまる携帯番号から折り返しお電話をさせていただきます。
TEL:093-287-1241
営業時間内のご予約をお願いいたします。
■月曜日~金曜日 時間9時~17時
■土曜日 9時~16時
メール相談

お電話でのご相談が難しい場合は、メール相談からお願いいたします。メール相談は24時間受付中です。できるだけ早い返信を心がけておりますが、ご相談状況によっては、ご返信までに数日掛かることもございます。ご了承くださいませ。
※メールアドレスの記載をお間違えにならないようお気を付けくださいませ。
※ご相談内容によっては担当者よりお電話させていただくこともございます。ご了承くださいませ。
LINE相談

LINE相談は24時間受付中です。LINEでの友達追加後に以下の①〜③の情報をお伝え下さい。
- お名前(フルネーム・漢字・よみがな)
- 年齢
- お悩みの症状
担当にて確認後、できるだけ早い返信を心がけておりますが、ご相談状況によっては、ご返信までに数日掛かることもございます。ご了承くださいませ。
※恐れ入りますが、お問い合わせの際にお名前、年齢、お悩みの症状または疾患のご記入がない場合は、こちらからの返信を控えさせていただきます。あらかじめご了承ください。
※友だち追加後、お客様からメッセージを送信いただいて初めて、こちらでLINEの追加確認が可能となります。メッセージがない場合や友だち追加のみでは、お客様の情報を確認できませんのでご注意ください。
※ご相談内容によっては担当者よりお電話させていただくこともございます。ご了承くださいませ
公式Twitterでは胸水・腹水の情報を発信中!

